치아에 틈새가 생겨 벌어진 경우 음식물이 자주 끼어 충치와 같은 잇몸 질환 발병 가능성이 크게 증가합니다.
또한 앞니의 틈새가 벌어진 경우 심미적으로 보기 좋지 않다고 판단하여 콤플렉스로 작용하여 웃거나 말할 때 신경 쓰이게 됩니다.
이빨의 간격이 벌여져 틈새가 생기거나 잇몸 질환이 생기면 빠르면 빠를수록 치료 과정이 간단해지고 비용도 절감됩니다.
치아 틈새가 벌어져 치과를 방문하는 환자들 대부분 초기에 치료 타임을 놓치고 벌어짐 정도가 심해진 상태에서 병원을 찾는다고 합니다.
따라서 조금이라도 빨리 치료하는 것이 비용과 시간을 아끼는 방법입니다.

치아 틈새 메우기 비용
벌어진 치아를 교정하기 위한 대표적인 치료 방법은 레진, 라미네이트, 치아교정이 있습니다.
각각의 치료 방법은 상황에 따라 다르게 적용되는 만큼 비용과 더불어 장단점을 확인하고 치료 방법을 선택하는 것이 좋습니다.
1️⃣ 레진 비용
레진은 당일 치료가 가능하며 치아 색상의 재현이 가능하지만 다른 보철치료에 비해 강도가 약하고 모양을 잡아주는데 한계를 가지고 있습니다. 장점으로는 상대적으로 비용 부담이 크지 않다는 것입니다.
즉 시간적인 여유가 없어 빠르게 치아 사이를 때우기 희망하는 분은 레진 치료가 좋은 대안이 될 수 있습니다.
단점은 레진은 강도가 약해 수명이 2년 이하로 짧으며 질긴 것을 씹는 경우 빠질 수 있습니다.
치아 틈새를 메우는 레진 비용은 치아 1개 당 평균 15~20만원 정도로 형성되어 있습니다. 저렴한 치과에서는 레진을 5~8만원으로 진행하는 경우도 있습니다.
2️⃣ 라미네이트 비용
레진과 마찬가지로 당일 치료가 가능하여 빠르게 이빨 사이 틈새를 메울 수 있지만 레진보다 강도가 높아 유지력이 길다는 것이 래미네이트의 장점입니다.
단 라미네이트의 경우 레진보다 치료 비용이 비싸며 본래의 치아를 다음고 삭제해야 하는 단점을 가지고 있습니다.
라미네이트는 강도가 좋아 주로 어금니 틈새 메우기 등과 같은 치료에 자주 적용됩니다.
치아 틈새를 메우는 라미네이트 비용은 치아 1개 당 평균 40~50만원 정도로 형성되어 있습니다.
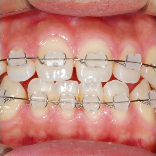
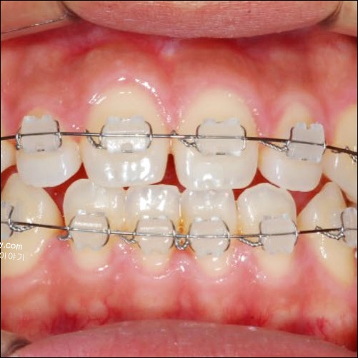
3️⃣ 부분교정 비용



부분교정은 주로 어릴 때 많이 받는다고 생각하지만 치아가 튼튼한 성인도 충분히 가능한 치료 방법입니다. 치아 교정 방식은 기존의 자연치아를 최대한 보존하면서 벌어진 치아를 교정할 수 있는 장점을 가지고 있습니다.
반면 치료기간이 상당히 길다는 것과 비용이 비싸다는 단점을 가지고 있습니다.
전체 치아교정의 경우 1~2년 정도의 오랜 기간을 가지지만 앞니 부분 교정은 짧게는 3개월에서 평균 6개월 정도의 기간을 필요로 합니다.
치아 틈새를 메우는 부분 교정 비용은 교정장치 종류나 붙이는 위치에 따라서 130~200만원 정도의 비용이 발생합니다.
비용도 중요하지만 이빨 사이 벌어짐을 교정하기 위한 앞니 부분교정은 심미적인 개선을 목적으로 하기 때문에 보다 만족스러운 결과를 얻기 위해서는 정확한 진단과 치료 계획을 세우는 것이 무엇보다 중요합니다.
'health' 카테고리의 다른 글
| 두통 부위별 의심 질환 (통증 위치에 따른 원인) (0) | 2023.04.01 |
|---|---|
| 크레아티닌 수치 낮추는법 (정상수치 포함) (0) | 2023.03.30 |
| 얼굴 멍 빨리 빼는법 4가지 (0) | 2023.03.07 |
| 고지혈증 약의 부작용 (스타틴 복용자 주의) (0) | 2023.03.06 |
| 목에 가래가 생기는 원인 4가지 (0) | 2023.02.25 |
